
Giant viruses were once mysterious. Now, they appear essential to the ocean’s balance. These viruses infect protists – single-celled marine life like algae, amoebas, and flagellates.
Protists sit at the base of the food web. When giant viruses infect them, the effects ripple through the ecosystem. Sometimes, these infections even trigger harmful algal blooms. These blooms can hurt marine animals and affect public health.
Researchers now want to know more. If we understand these viruses better, we might predict when and where blooms will occur. That would help protect coastal communities. A team at the Rosenstiel School of Marine, Atmospheric and Earth Science has taken a big step forward.
The research team analyzed vast sets of publicly available environmental DNA sequences collected from marine waters around the world.
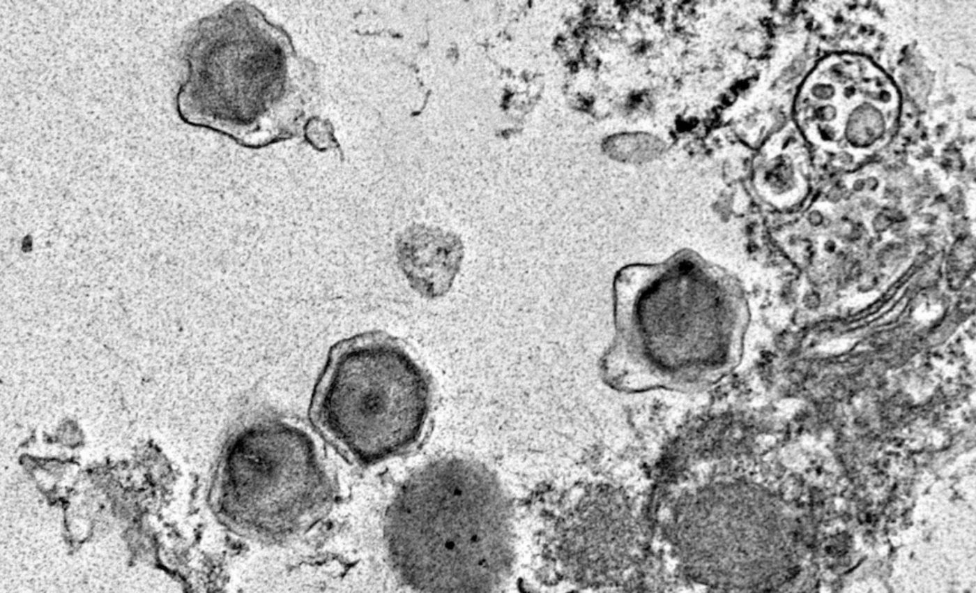
By applying their specialized tool to this massive data pool, they were able to recover 230 previously unknown, high-quality giant virus genomes.
The genomes originated from samples collected across a diverse range of oceanic regions, stretching from the frozen Arctic Ocean in the north to the remote reaches of the South Pacific.
Among the sampling locations, the Baltic Sea stood out. This brackish body of water, known for its unique ecological conditions, yielded the highest number of discoveries – 108 high-quality viral genomes.
In addition to these complete sequences, the team also identified 398 partial giant virus genomes, expanding the known diversity even further.
The recovered viruses spanned several well-known taxonomic orders. Most belonged to Imitervirales and Algavirales, two dominant groups in marine viral ecology. Remarkably, the researchers also detected members of the rare Mirusviricota order.
This group is particularly significant because it shows evolutionary links between giant viruses and herpesviruses, suggesting a much deeper history than previously thought.
Many of the new viral genomes were large – some over 1.3 million base pairs long. Genomes in the Algavirales group were among the biggest. Pandoravirales showed the highest GC content, which affects how the DNA behaves and is processed.
The researchers didn’t just stop at sequencing. They studied proteins inside these viruses and calculated nitrogen and sulfur in each protein chain.
These values offer clues about virus-host dynamics. A high nitrogen content might drain host resources during infection.
The team found genes for photosynthesis and carbon metabolism. These include genes involved in glycolysis, the TCA cycle, and even chlorophyll-binding proteins.
“We discovered that giant viruses possess genes involved in cellular functions such as carbon metabolism and photosynthesis – traditionally found only in cellular organisms,” said Benjamin Minch, the lead author of the study.
Imitervirales carried many of these genes. Algavirales carried fewer, despite larger genome sizes. This hints at two different infection strategies. Imitervirales might rely more on hijacking and augmenting host metabolism.
The Baltic Sea turned out to be a hotspot for viral diversity. Researchers found many new proteins there, including 88% of the novel proteins identified in this study.
Salinity, depth, and bacterial production played major roles in shaping these viral communities.
“This study allowed us to create a framework to improve existing tools for detecting novel viruses that could aid in our ability to monitor pollution and pathogens in our waterways,” Minch added.
Newly discovered viral proteins linked to photosystems I and II, cytochrome b6f, and ATP synthase suggest that giant viruses can tweak their host’s photosynthetic machinery. That helps the virus maintain the host’s energy production during infection.
“Giant viruses are often the main cause of death for many phytoplankton, which serve as the base of the food web supporting ocean ecosystems and food sources,” said Mohammad Moniruzzaman, co-author of the study.
All this was made possible by BEREN – a new tool that spots giant viruses in public DNA libraries. The team avoided re-analyzing datasets already mined, like Tara Oceans, and focused on untapped sources.
Giant viruses remain one of biology’s great surprises. With just 1,800 marine genomes recovered to date, there’s much more to find. The new genomes add weight to the idea that viruses shape entire ecosystems.
The study was published in the journal npj Viruses.
The full dataset, genomes, and code are open-access on Figshare and Zenodo.
Image Credit: Grieg Steward, Ph.D., University of Hawai‘i at Mānoa.
—–
Like what you read? Subscribe to our newsletter for engaging articles, exclusive content, and the latest updates.
Check us out on EarthSnap, a free app brought to you by Eric Ralls and Earth.com.
—–
